2016-2022 All Rights Reserved.平安財經網.復制必究 聯系QQ 備案號:
本站除標明“本站原創”外所有信息均轉載自互聯網 版權歸原作者所有。
郵箱:toplearningteam#gmail.com (請將#換成@)
男青年小王25歲,年紀輕輕的就已經240斤了,在父母不斷的嘮叨之下,也開啟了自己的健身計劃,兩周時間當中成功減了10斤,為了給自己不斷加碼,在健身教練建議的運動量基礎之上,不斷繼續加練。結果在運動結束之后,隱隱覺得心臟有些不舒服,一到小區樓因為停電,所以又爬上了8樓,最終導致了急性心梗。

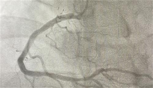
經過心血管醫生共同協力將生命通道打通,隨時候小王進入心血管病區的監護室,積極作出治療。目前恢復較為良好,心肌梗死指的是心臟供應血液的血管被堵塞,使得心臟在供血方面不足,特別是季節發生變化,高熱、寒冷、劇烈運動等,讓血管刺激收縮,還有感染等一些因素,很容易誘發急性心梗 通常心梗多發生在老年患者身上。目前45歲以下人群心梗發病率也在不斷的上升,這種病癥也纏上了年輕人。

新冠患者中最為常見是患有基礎疾病,三高及高血壓、高血脂、高血糖,還有高尿酸。除此之外,吸煙飲酒過勞熬夜作息不規律的多種情況,也是有幾率誘發心梗,小王雖然只有25歲。但是已經是典型的三高患者,而體重是屬于重度肥胖,伴有夜間呼吸暫停綜合癥,日常生活中喜愛熬夜,這眾多方面拉滿了危險系數。

在臨床上的數據顯示,每年我國發生急性心梗患者人數大約100萬人,大約每18秒到20秒的時間,就會有心梗的事件發生,一部分心血管疾病會呈現較為年輕化的趨勢。急性心梗經常有的癥狀是胸痛、胸悶或者伴有背部疼痛,通常每次胸痛、胸悶大約持續到3~5分鐘,停止活動就可以好轉。
2016-2022 All Rights Reserved.平安財經網.復制必究 聯系QQ 備案號:
本站除標明“本站原創”外所有信息均轉載自互聯網 版權歸原作者所有。
郵箱:toplearningteam#gmail.com (請將#換成@)