2016-2022 All Rights Reserved.平安財經網.復制必究 聯系QQ 備案號:
本站除標明“本站原創”外所有信息均轉載自互聯網 版權歸原作者所有。
郵箱:toplearningteam#gmail.com (請將#換成@)
二十二歲的小韓坐火車,從外地前往深圳,出站時眼前一黑,暈倒在地上,路人見到這種情況展開施救,及時進行了心肺復蘇。120醫護人員趕到后對小韓查看,發現其呼吸急促,下巴還有3cm摔傷的口子,好在心跳已經恢復過來了。

將小韓抬上車之后,前往醫院的路上再次有心臟停跳的情況,一會人在車上按壓了5分鐘的時間才恢復了過來,意識模糊的小韓被送往深圳大學總醫院急診科檢查后,心率甚至達到了每分鐘200次,因為有著嚴重的缺氧,且時間較長,出現了代謝性酸中毒,低鉀血癥的癥狀需要飽和度比較差,急診醫生立刻進行氣管插管幫助呼吸。

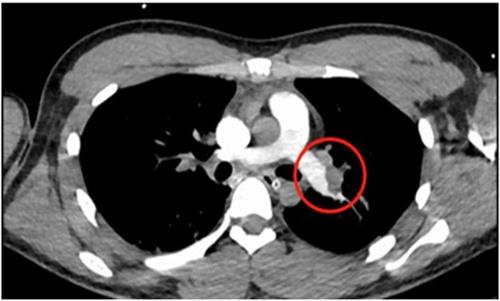
之后出現了第3次心臟的驟停,醫生按壓了三分鐘之后才恢復自主心率,被送入ICU進行對癥的治療,在血管造影等各項檢查之后通過檢查報告,能夠看到是肺栓塞。7月31日凌晨小韓大動脈搏活動消失,第4次心臟驟停,醫生在靜脈上推出腎上腺素,恢復自主心率。

這是小韓病情極為危重,專家認為是危重型的血栓性肺栓塞診斷上很明確,用尿激酶已經全身溶栓治療了。但小韓呼吸循環上改善并不明顯,必須要盡快手術,肺栓塞是靜脈里面血流瘀滯成為了血塊,在脫落之后伴隨著血塊流往了肺動脈和心臟去,只有少量血液參與交換,使全身出現缺氧。
最終反復研判后,對小韓行了肺動脈造影,置管溶栓和碎栓術,讓血栓攪碎后再推注尿激酶,不到一個小時就順利將雙肺的動脈打開了,血流恢復原本的通暢血壓血氧飽和度也快速得到改善。
2016-2022 All Rights Reserved.平安財經網.復制必究 聯系QQ 備案號:
本站除標明“本站原創”外所有信息均轉載自互聯網 版權歸原作者所有。
郵箱:toplearningteam#gmail.com (請將#換成@)