2016-2022 All Rights Reserved.平安財經網.復制必究 聯系QQ 備案號:
本站除標明“本站原創”外所有信息均轉載自互聯網 版權歸原作者所有。
郵箱:toplearningteam#gmail.com (請將#換成@)
在接診一位中年女性患者的時候,這位患者表示發燒已經4天的時間,也輸了兩天液。但是都沒有用,一度發燒達到39.5度,感覺到頭還很疼,醫生對這位中年女性又進行了詳細的詢問病史,查看之前化驗單,提起了警惕,看是否之前有誤診或者漏診的情況。

通過查看報告發現在4天前沒有明顯誘因的出現了,發熱情況,體溫甚至一度高燒將近40度,有輕度惡心,無咳嗽,有明顯的頭痛。在化驗單中可以看到白細胞正常的上限,當時輸液給的是三代頭孢抗生類藥物以及地塞米松進行退熱,但是患者體溫在輸液后并沒有降到正常情況。

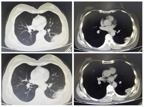
患者作為急性發熱,白細胞和炎癥指標都有升高,醫生考慮到很可能是細菌感染的可能性,三代頭孢是廣譜類的抗菌藥物,但在該患者身上卻并沒有用,當時做胸部CT后,突然發現肺部有肺炎。
在詢問后,知道最近這位女性養了一只鸚鵡,這個鸚鵡有時候還會用這位女性的杯子喝水,前段時間鸚鵡得了肺炎,還有一點點腹瀉,去寵物醫院進行治療后才好了,鸚鵡所使用的是多西環素,最終找到罪魁禍首,致病原因是鸚鵡熱衣原體。

中午熱衣原體是革蘭陰性需氧細胞內寄生的病原微生物,可以引起人畜共患,人類、家禽或野生動物都會攜帶這種病毒,人經呼吸道或密切接觸后。就很可能有人與人之間或人與畜之間的傳染,多數會表現出咽痛,高熱頭痛這樣的癥狀,較為嚴重的話會引起肺炎、腦炎、心內膜炎等多種并發癥類型,對生命有威脅。
2016-2022 All Rights Reserved.平安財經網.復制必究 聯系QQ 備案號:
本站除標明“本站原創”外所有信息均轉載自互聯網 版權歸原作者所有。
郵箱:toplearningteam#gmail.com (請將#換成@)